Call Us Text Us Email Us

Transforming Smiles: Witness the Artistry of Dentistry at its Finest

Art of Smile - Yonge and Eglinton
Request an Appointment

Radiant Transformations:
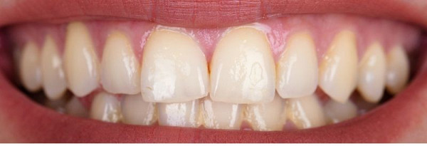
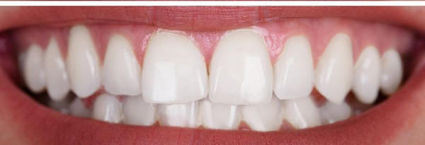
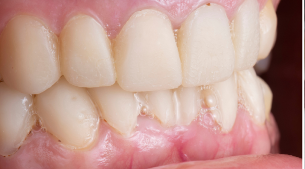
Before & After Gallery

Explore the captivating journey of patients who have experienced remarkable transformations, embracing newfound confidence and showcasing the true impact of our commitment to unparalleled dental excellence. Each image tells a story of not just aesthetic enhancement but also the restoration of joy and self-assurance.

Request an Appointment

Meet our Dentists

speech bubble

Our Reviews

Google rating score: 4.8 of 5,based on 353 reviews

Very professional and also detailed. I used to be scared to go to dentist but here I felt more calm as I know that I will be in a good hand.

Felicia R.

Thank you for a great experience in your office- Dr B, receptionist and Andrew for your work on my mother's dentures. She is highly appreciative and satisfied with the dentures that you did for her. Thank you for your patience. She always felt welcomed to come as many times as she needed to adjust her dentures until she can feel comfortable to eat.

Slava Burdo

I have been going here for 6+ years and find the staff incredibly friendly and helpful. Dr. Battaglin is great, gentle and knowledgeable. My favourite hygenist is Spomenka - she's GREAT!

Kat King

Art of Smile is the absolute best dental practice I have ever been to! The staff greeting you and helping is A+ with knowledge and kindness. The dentists and hygienists are also top quality and have always treated me and my whole family with gentle care and kindness! I highly recommend booking here!

Frank Rotundo

Dr Battaglin is a wonderful dentist, my husband found her and every appointment has been a great experience, she really looks after our whole family. My 9 year old twin boys love her and they get a little treat from the goodie box after each visit.

Nicole T.

Thanks Dr B for an excellent experience at Art of Smile. Everyone is welcoming, supportive, and professional. I felt comfortable and well cared for at all times. I would recommend Art of Smile to anyone looking for excellent dental care, in a convenient location, and a modern office environment.

Geraldine Macdonald

I've been coming here for a few years now and have nothing but good things to say. The doctors, hygienists, and front desk staff are all excellent. Booking appointments is a breeze, as they're responsive, flexible, and very accommodating. Highly recommended ?

Ali Fayyaz Karim

Without a doubt the best dentists office I’ve been to. Staff (from the receptionists to the dental team) are incredibly kind and understanding. Everyone I interacted with seemed to genuinely care about how I was feeling throughout all stages of treatment.

I was a bit anxious about recovery the day after I had my wisdom teeth removed so I called to ask a few questions. They had an appointment for me within 30 minutes of my call. The dentist/oral surgeon who did the extraction went out of his way to come in to work early to make sure I felt okay.

Daman Singh

Hands down the best dental clinic I've ever been to! Amazing doctors, amazing hygienists, amazing admin staff... all-round top tier service. Highly recommended.

Justin Hwang

I’m a new patient at the office and had indicated on the registration survey I was feeling anxious about my first appointment. Upon my arrival and after introductions, Luda asked me if I would let her know what I was anxious about. I shared with her why and she very kindly told me I could let her know by raising my hand if I needed to sit up or take a moment during the cleaning. Luda’s response to my concerns helped to make my visit a pleasant one and I left with not just a fresh mouth, but feeling cared for. I’m happy to have chosen Art of Smile Dentistry and now I’m looking forward to my next appointment!

Silvia Chu
Read our Google Reviews
speech bubble

Contact Us

Your dentist at Yonge and Eglinton will always make you her top priority! Our team believes you and your family deserve the very best care. If you’ve been searching “dentists near me” or “dentist in Sherwood Park,” look no further. We’d love to get to know you.
Call us now!